前歯の形・色の改善を目的として矯正治療とセラミック治療を行った症例
前歯の形・色の改善を目的として矯正治療とセラミック治療を行った症例
患者主訴

30代女性の患者様です。
「前歯の色が気になる」「歯並びを整えたい」との主訴でご来院されました。
治療内容
- 矯正治療(上顎)
- セラミック治療(前歯・奥歯)
治療詳細
以前から前歯の歯並びや見た目にコンプレックスがあり、当院へご相談いただきました。
以前にも別の歯科医院を受診していたが、治療の進行が遅く、前歯の治療についても相談したが満足いく治療方針ではなかったとのことでした。
患者様の希望としては、なるべく治療期間は短く、綺麗な前歯にしたいとのことでした。
診査・診断

カウンセリング後、模型分析・シミュレーションを実施しました。診断の結果、前歯の形や色だけでなく、歯並びやかみ合わせにも問題があることが分かりました。
セラミック治療だけでは多く歯を削る必要があり、歯の形のバランスが整わない可能性がありました。
また上顎の前歯と奥歯に1本ずつ抜歯が必要な箇所もありました。
そのため、見た目と機能の両立、長期安定を目指して「矯正治療+セラミック治療」の併用を提案しました。
治療の流れ
- 矯正治療

- 歯の形成

- 仮歯の装着

- セラミッククラウンの装着


使用材料
ジルコニアクラウン
治療期間
約1年
費用
- 矯正治療(上顎のみ):330,000円(税込)
- ジルコニアクラウン(奥歯):93,500円(税込)×5本=467,000円(税込)
- ジルコニアクラウン(前歯):110,000円(税込)×6本=660,000円(税込)
- 総額 1,457,000円(税込)
※保険適用外の自由診療です。
リスク・副作用
- 強い衝撃で破折する可能性があります。
- 歯を削る必要があります。
- 経年的な歯肉退縮により、境目が見える可能性があります。
- 就寝時にはナイトガードの装着を推奨します。
- 矯正後の後戻りのリスクがあります。
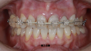
治療結果
矯正治療により歯の位置関係を整え、削る量を最小限に抑えたセラミック治療を行いました。
審美性だけでなく、咬み合わせなどの機能面も改善され、長期に安定する治療結果となりました。

