
Point1.
診査・診断と丁寧なカウンセリング
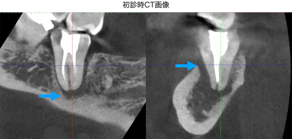
金山デンタルクリニックでは、治療の前に必ずCT撮影を行い、神経の本数や根の形、病変の大きさを正確に診査。治療の可能性や成功率まで含め、CTの画像を見せながら丁寧にご説明しています。治療後の経過もマイクロスコープやCT画像をお見せしながら、ご説明させていただきます。
天然歯には、ただ食べるためだけでなく、歯髄や歯根膜といった組織が持つさまざまな「センサー」や「修復力」が備わっています。これらは一度失うとインプラントや義歯では再現できない、かけがえのない存在です。
私たちは、歯を守るための第一歩として、正確な診断と納得できるカウンセリングを大切にしています。
Point2.
マイクロスコープと滅菌管理を徹底した専門設備
日本で行われている保険の根管治療は、成功率が30〜50%程度といわれています(※須田英明「わが国における歯内療法の現状と課題」日本歯内療法学会誌2011)。
その原因は、ラバーダムの未使用やマイクロスコープの導入率の低さ、限られた診療時間など、設備・環境面の課題にあります。
当院では、マイクロスコープを完備した専用診療室で、ラバーダム下での精密根管治療を行います。
- 治療ごとに新品の器具(ニッケルチタンファイルなど)を開封し使用
- すべての器具をガイドラインに沿って滅菌処理
- 毎回必ずラバーダムを使用し、唾液による感染を完全にシャットアウト
根管治療は細菌との闘いです。ほんの少しの細菌の侵入が、再感染や治癒不良につながります。だからこそ、1回1回の治療に妥協せず、徹底した衛生管理と可視化された治療を行っています。




Point3.
外科的歯内療法にも対応できる体制
「他院で治療したけど治らなかった」「再発して抜歯しかないと言われた」——そんな方にも、外科的歯内療法という選択肢があります。
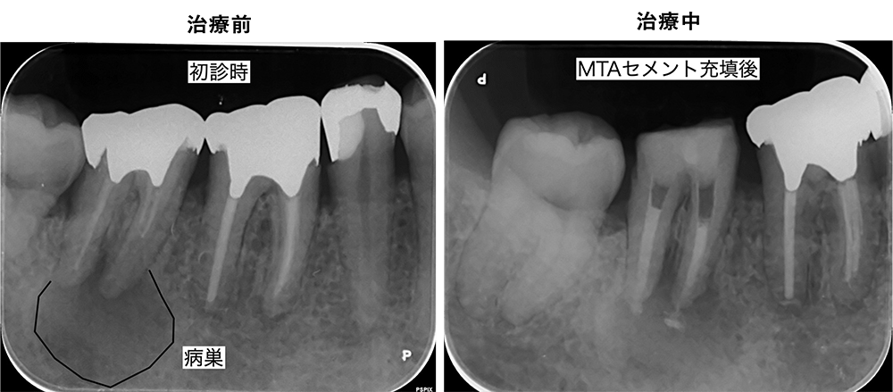
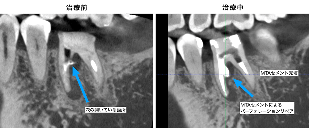
金山デンタルクリニックでは、再治療が難しい症例や、根の先に大きな病変がある症例に対し、歯根端切除術などの外科的処置も行っています。
これらの治療は難易度が高く、対応できる歯科医院は限られますが、当院では症例に応じて必要な器具・材料・術式を選択し、高度な治療にも対応可能です。
学会ガイドラインに基づく外科的歯内療法では、80〜90%の成功率が報告されており(※AAEガイドライン等)、正しい手順を踏めば、まだ歯を残せる可能性は十分にあります。













