Point1.
機能と美しさを両立した矯正治療
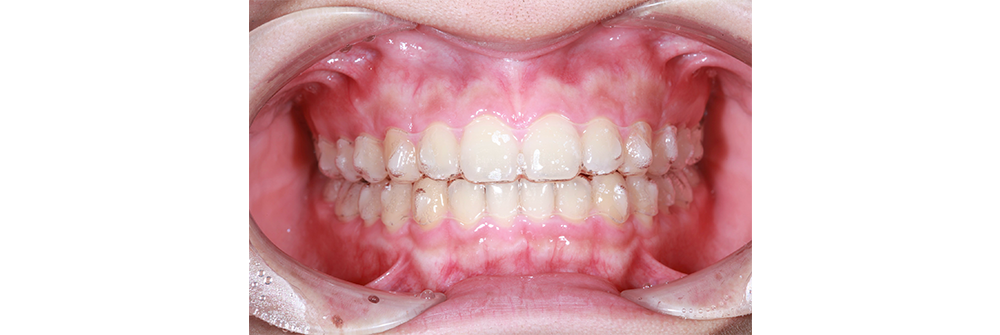
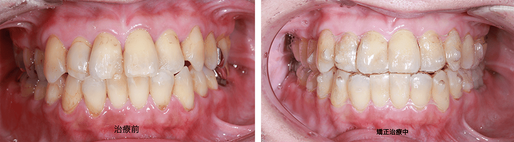
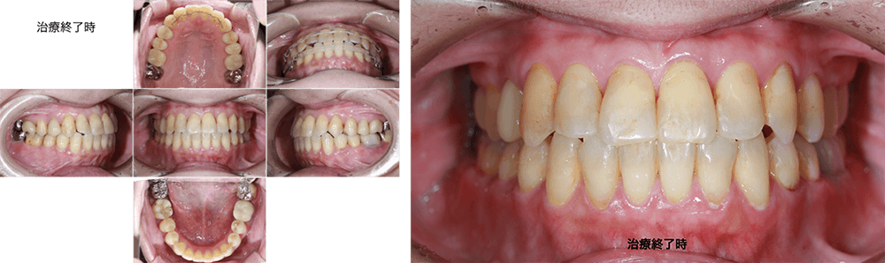
当院の矯正治療は、単に歯並びを整えるだけでなく、「しっかり噛めること」「長期的に安定すること」を大切にしています。
歯にはそれぞれ役割があり、正しい噛み合わせがなければ本来の機能を発揮できません。噛み合わせを改善することで、見た目の美しさだけでなく、健康的で長持ちする歯並びを実現します。
さらに横顔のバランスや口元の印象にも配慮し、自然で美しい笑顔づくりを目指しています。
Point2.
根拠に基づいた安心の治療計画
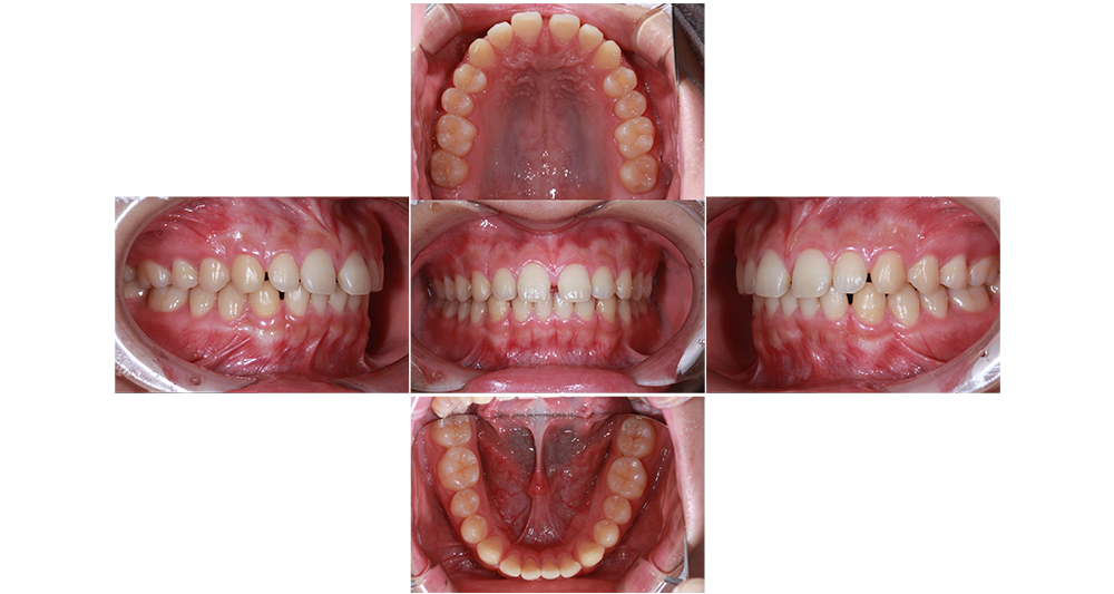
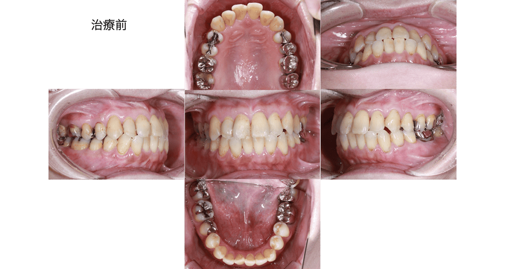
矯正治療では「抜歯が必要か」「どんな仕上がりになるか」が気になる方が多いと思います。
当院では、歯列模型やセファロ分析、CT診断などの精密検査を用いて、歯並びの乱れの原因を徹底的に調べたうえで治療計画を立てます。治療中にどんなリスクがあるのか、抜歯をする場合としない場合で結果にどう違いが出るのかも丁寧に説明いたします。
根拠を明確にしたうえで、患者様の希望を伺いながら一緒に治療方針を決めていくことを大切にしています。
Point3.
幅広い年代に対応し、包括的にサポート
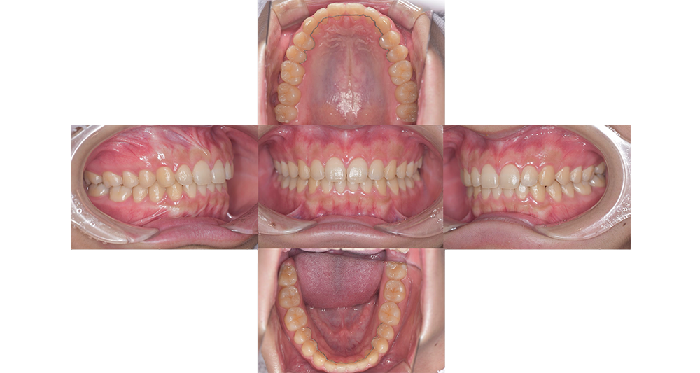
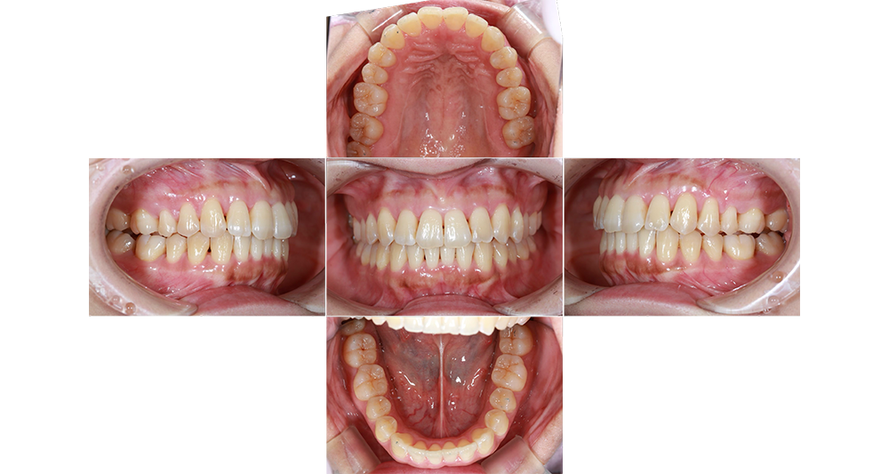
当院では、お子さまの成長に合わせた1期治療から、大人の2期治療まで幅広く対応しています。
マウスピース矯正とワイヤー矯正の両方を扱い、症例に合わせて最適な方法をご提案します。
また、虫歯や歯周病治療、インプラント、セラミック治療と組み合わせた「包括的な治療」が可能なのも当院の強みです。
矯正治療中・治療後の定期的なメンテナンスにも力を入れ、美しい歯並びを長期にわたり守るお手伝いをいたします。














