
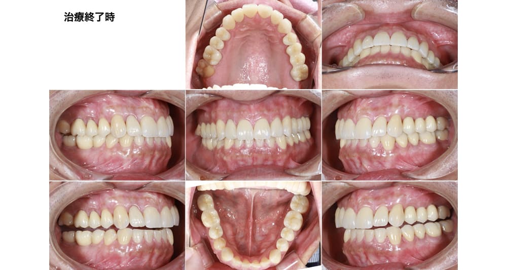
インプラントが10年後も20年後も快適であるために、私たちは「今」だけでなく「未来」も見据えた治療を行います。
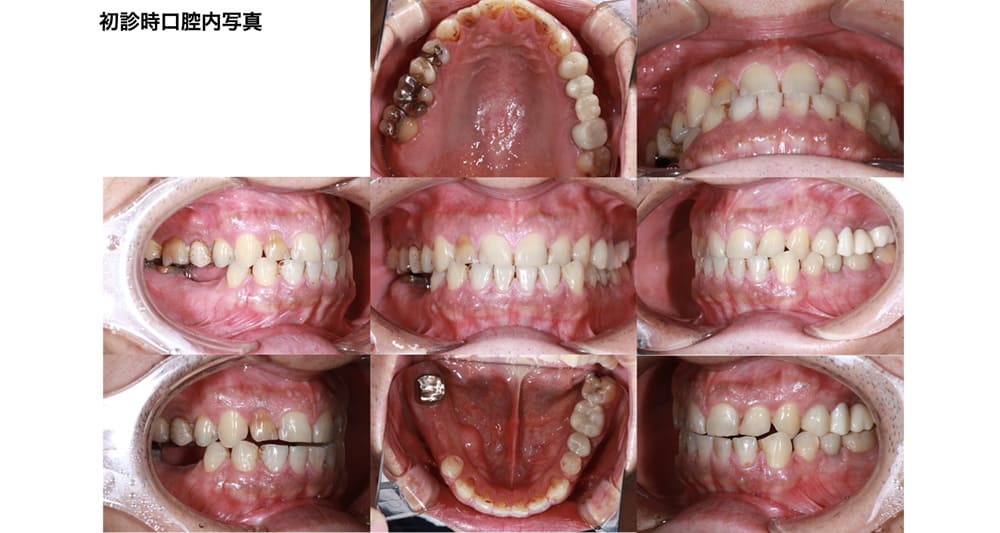
インプラントは、天然歯に近い噛み心地と見た目を取り戻せる治療ですが、実は入れた瞬間がゴールではありません。
「どこに、どのように埋めるか」そして「治療後の管理」が、将来の快適さを大きく左右します。
金山デンタルクリニックでは、長期的視点に立ったインプラント治療を行っています。
その理由は、患者様の大切な歯と健康を守るためです。

1.必要最小限かつ将来を見据えた治療計画
インプラントは万能ではありません。私たちは「とにかく入れる」治療は行わず、本当に必要な本数・位置だけを慎重に計画します。
今の状態だけでなく、10年後・20年後のライフスタイルや全身の健康、治療費や期間、食生活の希望まで考慮し、長く満足できる設計を重視します。
治療方針は口腔インプラント学会ガイドラインやITIコンセンサスといった世界的な基準に沿い、治療後は一人ひとりに合ったメンテナンス計画で長期安定をサポートします。
2.歯科医師と歯科技工士がタッグを組む高度なチーム医療
インプラントの仕上がりは「外科手術」だけでなく「被せ物の設計」にも大きく左右されます。
当院では、豊富な臨床経験と講師実績を持つ院長と、国内外で活躍する歯科技工士が、治療計画段階から全症例を共同で設計。
オーラルスキャナー・CT・専用ソフトによる3Dシミュレーションで、噛みやすさと美しさを兼ね備えた補綴主導の治療を実現します。
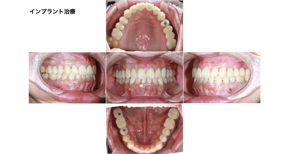
骨が足りないケースでも、GBR法やサイナスリフトなどの骨造成に対応可能です。



3.安全を最優先にした先進設備と手術管理
インプラント手術は精度が命。当院ではマイクロスコープとサージカルガイドを併用し、計画通りの位置に高精度で埋入します。
手術中は生体モニターで血圧・心拍を常時監視し、酸素・救急蘇生キットも完備。
近隣の岡山市民病院(車で約5分)や岡山大学病院(車で約12分)と連携し、万が一にも備えます。
さらに、手術の様子は写真・動画で記録し、術後説明や将来の治療記録として活用します。

























